OUR SERVICES
We Offer Different Services

Cosmetic Dentistry
Cosmetic dentistry makes your teeth smile beautiful.

Dental Implants
Dental implants is a procedure of replacing missing teeth.

Orthodontics
Orthodontics can correct the bite and retore balance to your teeth.

Teeth Whitening
Laser teeth whitening procedure allows us to whiten your teeth.

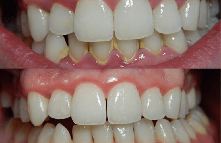
Teeth Cleaning
Deep cleaning your teeth is a procedure to treat periodontal.

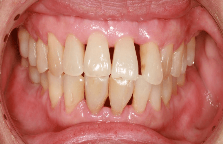
Periodontitis
Periodontitis involves oral hygiene and professional teeth cleaning.

Scaling and Polishing
Fight cavities with Crest Cavity Protection Toothpaste by us.


